Nación
Sucesos
Judiciales
Falcón
Comunidad
Educación
Generales
La Costa
La Sierra
Occidente
Mundo
Deporte
Entretenimiento
Avisos Legales
Buscar
Nación
Destacadas
Este es el precio del dólar hoy 26-May
Destacadas
Cecodap advierte sobre efectos de cortes eléctricos en niños y adolescentes
Destacadas
Incorporan el primer servicio de cirugía robótica en el sector de salud pública del país
Destacadas
Gaceta Oficial confirma la ampliación del TSJ a 32 magistrados
Destacadas
Conoce las ofertas laborales de la compañía petrolera Chevron en Venezuela
Sucesos
Todo
Judiciales
Sucesos
Polifalcón captura a sujeto que abusó de su hija y su hijastra en Los Taques
Sucesos
Falleció estudiante golpeado con una botella dentro de un liceo
Sucesos
Coro | Javielis García fue asesinada por su expareja, funcionario de la GNB
Sucesos
Un motorizado muerto en Mauroa tras choque contra poste
Falcón
Todo
Comunidad
Educación
Generales
La Costa
Falcón
Alcalde Piña: Investigamos vandalismo en la plaza Poesía de Guillermo
Falcón
Inicia en Falcón despliegue para segunda Consulta Popular Nacional
Falcón
Fortalecen gobernanza turística y encadenamiento productivo en el estado Falcón
Destacadas
Gobernador Clark: Juntos por Falcón deja su sello en todas las obras
Mundo
Deporte
Entretenimiento
Entretenimiento
Grupo Kpop NTX se hace viral por bailar tambor venezolano (VIDEO)
Entretenimiento
Patricia Sara Laines e INMOCON anuncian la expansión del movimiento hacia Estados Unidos
Destacadas
Ricky Martin es atacado con gas lacrimógeno durante concierto en Montenegro
Entretenimiento
La Pasión de Cristo llegará en dos partes (+Detalles)
Entretenimiento
Rosalía sube al olimpo musical tras recibir prestigioso galardón
Avisos Legales
Inicio
Etiquetas
Cerebro de los hombres
Tag: Cerebro de los hombres
Salud
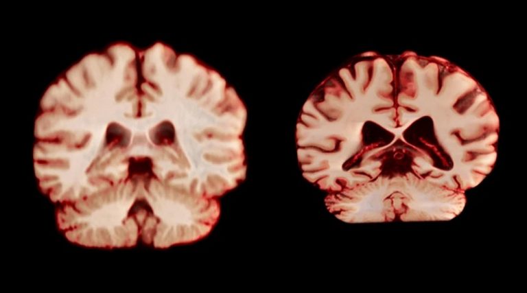
El cerebro de los hombres envejece más rápido: ¿por qué?
Pedro Comas
-
20/10/2025
0